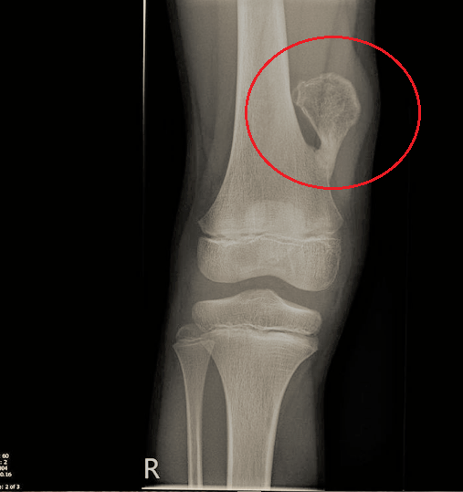
Rider’s bone o “osso del cavaliere”, sta ad indicare un’escrescenza ossea di natura benigna che si genera a lato del femore. Ma perché “del cavaliere”?

Quando si sta in sella, sappiamo bene che uno dei muscoli del cavaliere più coinvolti è il grande adduttore, presente nella parte interna della coscia; il suo utilizzo crea forte pressione sul femore e a lungo andare può succedere che i tendini causino dei microtraumi all’osso.
Il corpo, in risposta, genera e deposita più calcio vicino ai tendini per rinforzarne la struttura ossea e col tempo questo calcio va ad ossificarsi causando la formazione di una esostosi o protrusione ossea.
Queste esostosi possono verificarsi in altre parti del corpo, ma questa del femore in particolare è così chiamata perché in passato si osservava nei soggetti che montavano a lungo a cavallo.
Questa condizione ovviamente non si verifica in tutte le persone che fanno equitazione; accadeva maggiormente una volta, quando il cavallo era l’unico mezzo di trasporto e si passava in sella molto tempo; inoltre il progressivo sviluppo di selle che consentono di alleviare la pressione sui muscoli adduttori della coscia, ne hanno fortemente scongiurato la formazione.

Fonti:
https://themedicalalphabet.wordpress.com/2017/01/14/osteocondroma/
